Житель Карелии случился спонтанный разрыв пищевода после неудачной попытки чихнуть. О необычном случае в медицинской практике рассказали изданию «Daily Карелия» сотрудники Суоярвской больницы.
Пациент 34 лет обратился к медикам с сильной болью при глотании и изменением голоса.
Мужчина рассказал, что пытался сдержать позыв к чиханию и зажал нос пальцами. Когда он всё же чихнул, то почувствовал толчки в области шеи — место вскоре заметно отекло.
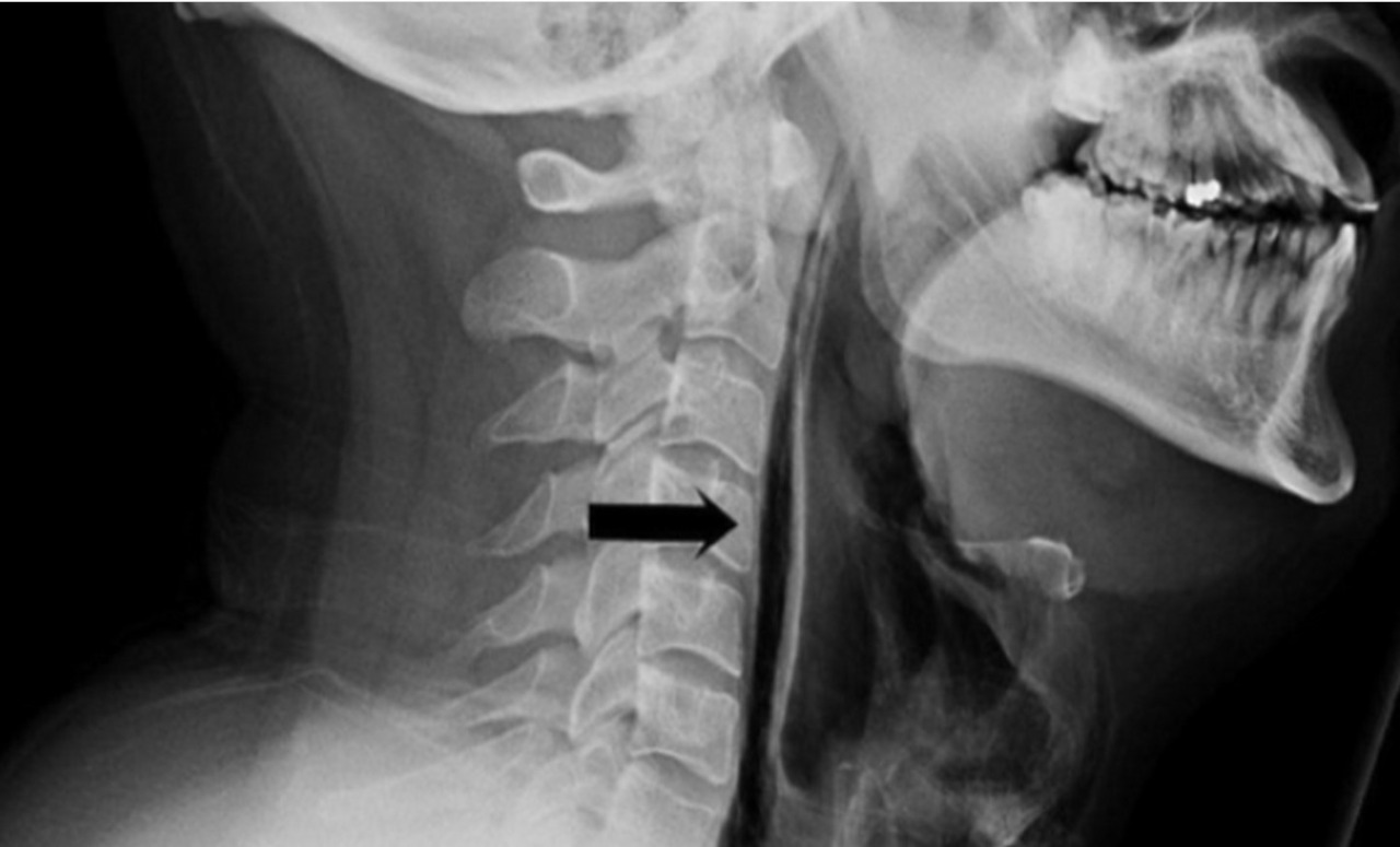
Пациента отправили на рентген — снимок показал спонтанный разрыв пищевода. Травма привела к избыточному скоплению воздуха в шее перед трахеей.

Врачи предупредили: намеренно зажимать нос или рот, чтобы подавить чихание, — опасно для здоровья.
Это может привести к чрезмерному давлению воздуха в грудной полости, разрыву барабанной перепонки и даже аневризмы головного мозга.
Например, житель США так сильно чихнул, что чуть не умер от инсульта. Прежде абсолютно здоровый 35-летний мужчина трижды чихнул, сидя в своей машине. После этого у него сильно заболела и закружилась голова, онемела левая часть тела.
Как оказалось, сильный чих спровоцировал разрыв артерии в шее — и образовался тромб. Питание мозга нарушилось, и мужчину привезли в больницу с инсультом.
Пациент выжил, сейчас он проходит долгую реабилитацию и боится чихать.







А мог бы неудачно зевнуть и порвать себе пасть...)