Больше восьмисот операций провели в новом отделении эндоваскулярной и миниинвазивной хирургии, которое год назад открылось на базе 1-й городской больницы. Об особенностях работы, достижениях и планах на будущее специалисты-медики рассказали нашей съемочной группе.
Это отделение в Севастополе самое молодое. Его открывали чуть больше года назад. Еще до того, как отделение приступило к работе, его осмотрел премьер-министр Николай Азаров. А уже через месяц после визита высокого гостя отделение приняло первых пациентов. За год работы в отделении сделали больше восьмисот операций. Это в полтора раза выше среднего показателя, говорит заведующий отделением.
ОЛЕГ БЕЛОГЛАЗОВ, заведующий отделением эндоваскулярной и миниинвазивной хирургии Севастопольской городской больницы №1:
«Эта методика позволят не производить больших полостных операций. Т.е. не подходить к патологическому органу через черепную коробку или брюшную клетку, раскрывая её. Это точечные проколы через кожу в артериях.Без больших наркозов, т.е. пациент разговаривает с нами на операционном столе. И если это лучевой доступ, то он уже через полтора-два часа может вставать, ходить и выписывается домой. Если это бедренный доступ (через бедренную артерию), то он сутки лежит у нас, а потом переводится в другое отделение».
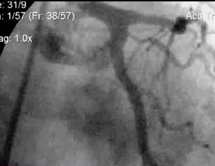
Отделение эндоваскулярной и миниинвазивной хирургии – это палаты общего профиля на 8 коек, блок интенсивной терапии и два операционных блока. Оборудование и назначение оперблоков разные. Здесь в рентгеноперационной проводят операции на кровеносных сосудах.
ОЛЕГ БЕЛОГЛАЗОВ, заведующий отделением эндоваскулярной и миниинвазивной хирургии Севастопольской городской больницы №1:
«Через кожные проколы, входя инструментами специальными в артерии или вены под контролем ангиографа – специальная рентгенустановка, в разных плоскостях работающая над больным, позволяющая с помощью контрастных веществ доходить до пораженного органа. Основной пласт проблем, которые решает рентгенхирургия – это либо включение в кровоток пораженного участка, либо выключение из кровотока патологического органа».
Первые – это в основном сосуды, пораженные атеросклерозом. Специальными инструментами расширяются суженные участки и ставят туда стенты, тем самым восстанавливая кровоснабжение пораженного органа.
ОЛЕГ БЕЛОГЛАЗОВ, заведующий отделением эндоваскулярной и миниинвазивной хирургии Севастопольской городской больницы №1:
«Идеально, когда такие операции проводят в срочном порядке, либо инфаркта миокарда, либо инсульта, когда участок органа не успел омертветь, а находится в таком парабиозе и в течении 2-3-х часов, если больной доставлен вовремя, мы успеваем восстановить пораженные артерии и восстановить кровоток пораженного органа».
Выключение из кровотока применяют при опухолях и фибромиомах. В таких случаях артерию, питающую патологическое образование, закрывают специальными приспособлениями, что позволяет избавить организм от болезни.
А это уже другая операционная - эндовидеохирургическая. Сюда попадают больные с желчекаменной и мочекаменной болезнями, кистами селезенки, печени, почек и при гинекологических заболеваниях. Операцию проводят с помощью специального видеохирургического оборудования.
ОЛЕГ БЕЛОГЛАЗОВ, заведующий отделением эндоваскулярной и миниинвазивной хирургии Севастопольской городской больницы №1:
«Видеокамера вводится через лапароскоп в полость, будь то полость черепа, грудную клетку или брюшную полость. Тоненький инструмент, видеоволоконная оптика в полости находит патологический очаг за чем мы наблюдаем на мониторе. Под контролем этой видеокамеры вводят специальные инструменты и манипулируются на органах и системах.В последнее время мы делаем операции при спаечной болезни брюшной полости, входя в брюшную полость после перенесенных многочисленных операций в области живота
Для того чтобы найти тромб или сужение, в сосуд вводят специальную жидкость. На этих кадрах хорошо видно, где жидкость проходит свободно, а где нет. Именно над этими «слабыми» места и работают хирурги. Что раньше являлось противопоказанием для хирургического вмешательства».
А месяц назад севастопольские медики провели уникальную операцию, став десятой клиникой в странах СНГ и первой клиникой в Крыму, где вместо обычного стента в поражённую артерию сердца поставили лекарственную платформу, которая сводит на нет риск рецидива заболевания.
ОЛЕГ БЕЛОГЛАЗОВ, заведующий отделением эндоваскулярной и миниинвазивной хирургии Севастопольской городской больницы №1:
«В нашем составе уникальный состав специалистов. У нас работают два эндовидеохирурга и два эндоваскулярных хирурга.
Уже в этом году - делится планами заведующий отделением - специалисты расширят область работы на артериях нижних конечностей, начнут ставить искусственные водители ритма – при нарушении сердечной деятельности, и пролонгированные венозные доступы для химиотерапии. В планах - переход на работу в круглосуточном режиме для оказания срочной помощи. Уже сейчас обратиться в отделение может любой желающий. Амбулаторный приём специалисты ведут в рабочие дни с 8.00 до 15.00. - передает НТС





Операции бесплатные? Медицина ведь в стране бесплатная,официально.
С огромным уважением....к хирургическому отделению 1-й гор больницы....заведующему...Юрию Фещенко....
Лечащему врачу Владимиру Афанасьеву.....
Которые вытащили меня....если можно сказать.... из того света....
to ФЭД (Кронштадт)
Конечно же это было не бесплатно....даже в далеком 2004 году.....но если стоит вопрос жизни и смерти....
То.....без комментариев....
Все замечательно . Можно цену узнать сколько лечение стоит в этом отделении сегодня ?
to Letty (Sevastopol) Все замечательно . Можно цену узнать сколько лечение стоит в этом отделении сегодня ?
В далеком 2004 году....было доступно....
В наше время....не дай Бог заболеть....
На сколько лет 1-ая отстает от 9-ой обалдеть .
Интересно : в чем первая отстает от девятой, если вв девятой ии сотой доли нет того, что есть в первой, особенно специалистов!
хирургам - удачных операций, а пациентам - скорейшего выздоровления